뇌혈관이 막히거나 터지는 질환을 통칭하는 것이 뇌졸중이고 그 중 뇌혈관이 막히는 것이 뇌경색 그리고 뇌혈관이 터지는것을 뇌출혈이라고 합니다. 뇌졸중은 영구적인 손상이 많고 증상에 따라 전신이나 신체 일부 기능이 마비되는 등의 심각한 후유증이 남는 무서운 질병인데요 오늘은 뇌경색 초기증상 및 뇌경색 치료방법에 대해 알려드리겠습니다.

뇌경색이란?
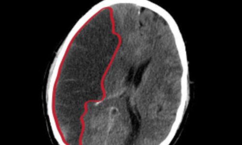
신체가 건강해도 뇌에 문제가 생기게 되면 신체 기능을 제대로 할 수가 없게 됩니다. 뇌 손상으로 제한된 신체 기능은 치료를 마친 후에도 회복이 제대로 되지 않거나 장애로 남는 경우가 많은데 뇌조직이 괴사되며 발생하게 되는 뇌경색이 대표적입니다. 과거에는 뇌출혈 환자가 많았지만 현재는 전체 뇌졸중 환자의 약 60~70%가 뇌경색 환자인 만큼 뇌졸중에서도 뇌경색이 차지하는 비중이 크다고 합니다.
건강보험심사평가원 자료에 따르면 뇌출혈로 병원을 찾은 환자보다 뇌경색으로 내원한 환자가 5배 이상 많았다고 하는데요 뇌경색은 뇌로 통하는 혈관이 막히면서 뇌 조직이 점차 괴사하게 되는 질환으로 날씨가 추워지는 겨울철에 특히 발생 가능성이 높은데요 혈관이 수축 하게 되면서 혈압 상승으로 이어지면서 뇌혈관 질환이 발생하게 되기 때문입니다.






뇌경색의 원인
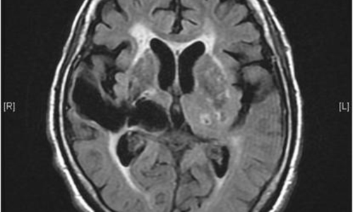
뇌경색 원인은 동맥경화증으로 시작합니다. 병이 든 혈관 어떤 곳에든 핏덩어리가 생겨나면 심장에서 뇌로 흐르는 혈액의 흐름을 방해하게 됩니다. 만약 핏덩어리가 내경동맥이나 뇌혈관을 막게 되면 치명적인 뇌 손상을 입을 수 있습니다. 이렇듯 갑자기 혈관을 막는 경우도 있으나, 혈전에 의하여 점차 혈관 너비가 좁아지면서 허혈성 뇌졸중이 유발되는 경우도 있습니다.
뇌경색 초기증상
뇌경색 초기증상으로는 어눌한 발음과 같은 언어 장애, 물건을 들고 있다가 떨어뜨릴 만큼 팔이나 다리에 힘이 빠지는 감각 이상, 한쪽에 마비가 오는 얼굴 감각이상, 극심한 두통, 어지럼증 등이 있습니다. 이러한 증상이 보인다면 뇌경색을 의심해볼 수 있습니다. 급성 뇌경색이 찾아오는 경우에는 특정한 뇌경색 전조증상이 나타납니다.극심한 두통이 있으며 동시에 평소와 다르게 말이 어눌하고 의사소통이 잘되지 않습니다. 이 경우 지체 없이 신속히 의료기관을 찾아야 합니다. 또한 팔다리의 한 쪽에 마비 증세가 있거나 눈 시력이 별 이유 없이 갑자기 저하되는 경우, 다리가 저리며 보행이 어려운 것 또한 뇌경색 증상으로 의심해 볼 수 있는 모습입니다.






앞서 설명한 뇌경색 전조증상이 나타났다가 5-10분 뒤에 아무 일이 없었다는 듯 평소의 모습으로 돌아올 수 있습니다. 특히 고령이거나 당뇨, 고혈압, 고지혈증과 같은 기저질환을 가진 경우, 흡연, 과음, 과로 등의 요인이 있는 경우에는 뇌경색 초기증상을 숙지하고 증상이 나타나면 신속하게 병원을 찾아 검사와 진단을 통해 적절한 치료를 받아야 뇌경색의 악화와 후유증을 최소화시킬 수 있습니다.
뇌경색은 심각한 증상이 나타나게 되어 병원을 찾는 경우도 있지만 자각하기 힘든 미비한 증상의 경우 병원을 늦게 찾는 경우도 있는데요 뇌경색 전조증상이 보이면 증상이 심하지 않더라도 병원에 내원하여 검사를 받는것이 좋습니다.
뇌경색 자가진단
1.한쪽 얼굴과 한쪽 손발의 감각이 둔해지고 있습니다.
2.갑자기 시력이 나빠졌어요.
3.몸에 힘이 들어가 있지 않은지 걷는 것조차 어렵습니다.
4.말을 더듬거나 발음이 서툴러졌어요.
5.식사 중에는 젓가락을 잘 떨어뜨립니다.
6.심한 현기증이 일어나고 정신이 몽롱합니다.
7.지금까지 한 번도 경험하지 못한 심한 두통이 있고 구토, 메스꺼움을 동반합니다.
8.시야가 좁아지고 어두워요.
9.균형감각에 이상이 생겨 균형을 이루지 못하고 자꾸 한쪽으로 몸이 쏠리게 됩니다.






뇌경색 치료방법
뇌졸중에서도 혈관이 막히는 뇌경색이야말로 촌각을 다투는 응급질환이라고 볼 수 있습니다. 뇌혈관이 막히면서 점차 뇌세포가 괴사하기 때문에, 증상 발현 3시간 안에 혈전용해제를 투여하고 시술에 들어가야 심각한 상황을 면할 수 있습니다. 뇌경색 치료방법에 있어 가장 중요한 것은 혈전을 녹이는 혈전용해제를 정맥 투여함으로써 막힌 혈관을 뚫어주는 것입니다. 하지만 혈전용해제의 경우도 출혈 가능성이 있는 환자에게는 투여할 수 없으며, 또한 혈소판 수치가 낮아서 지혈이 되지 않는 경우에는 제외된다고 합니다.
또한 과거에 이미 뇌출혈이 발생한 경우와 고혈압 환자의 경우도 혈전용해제를 투여할 수 없다으며 보통은 약50% 정도의 환자에게만 혈전 용해제를 이용한 치료가 가능합니다. 막힌 혈관을 뚫어주는 치료를 한 이후에도 뇌경색은 꾸준히 관리해야 하는데 재발할 확률이 높기 때문입니다. 따라서 약물치료와 함께 재활 치료가 필요하며 치료 이후 초기에 재활 치료를 적극적으로 해야 뇌경색 치료방법의 효과가 크고 후유증을 줄일 수 있습니다.






뇌경색 예방법
뇌경색의 재발률을 낮추기 위해서는 위험 요인을 없애는 것이 필요합니다. 먼저 고혈압이나 당뇨는 뇌경색을 유발할 수 있는 큰 위험요소인 만큼 식습관이나 운동하는 바른 습관을 길러나가는 것이 중요합니다. 흡연 또한 위험성을 높이는 요인이 되므로 금연이 예방에 도움이 됩니다.
뇌 혈액 및 건강에 도움이 되는 좋은 식재료를 이용하여 음식을 섭취하는 것도 도움이 되며 50대 이후의 연령은 정기적 검진으로 건강을 살피시기 바랍니다. 그 누구도 건강을 자신할 수는 없지만 어떻게 본인의 몸을 관리하는가에 따라서 컨디션과 건강은 달라질 수 있습니다.






뇌경색 초기증상과 뇌경색 치료방법에 대해 알려드렸습니다. 모든 것의 중심이 되는 것은 바로 건강입니다. 위 내용 참고하셔서 건강 지키시고 행복한 생활 하시기를 바랍니다. 방문해 주셔서 감사합니다.
다른 사람이 많이 본 글





