이번 글에서는 위염 증상에 대해 알아보려고 하는데요 핵심만 골라서 알기 쉽게 정리해봤으니 자세히 읽어보시고 참고하시기 바랍니다.
위염
위염은 병리학적으로 위 점막에 염증 세포의 침윤이 있는 상태로 정의해요. 위염은 시간적 개념에 따라 급성과 만성으로 나눌 수 있답니다. 이 밖에도 조직학적 소견, 해부학적 분포 또는 병적 기전에 따라 분류되어요. 위염의 내시경적 소견에 따라 발적성 위염, 미란성 위염, 출혈성 위염, 담즙 역류성 위염, 만성 표재성 위염, 위축성 위염, 화생성 위염, 비후성 위염 등으로 분류되기도 해요.






위염 이유가 되는 것
만성위염의 경우 무증상인 경우가 무리하게 많으며 증상이 있는 경우, 치료가 필요해요. 증상으로는 소화불량, 상복부 통증, 속 울렁거림, 트림, 식욕부진 등이 있어요. 심한 경우, 심장박동수가 빨라지고 숨이 가빠지며, 식은땀이 나면서 열이 동반됩니다. 소화불량, 복부의 불편함과 비슷해 대수롭지 않게 생각하는 경우가 많은 위염. 위염에는 급성 위염과 만성 위염이 있어요. 만성위염이 발생할 경우 치료 방법은 더 어렵므로 만성위염으로 가기 전에 올바른 식단 방법으로 완치하는 것이 중요해요.
위축성 위염은 우리나라 국민의 약 25%에게 보이는 흔한 질환이지만, 특별한 증상이 없어서 방치하는 사람들이 많다고 해요. 하지만 위축성 위염이 지속하면 장상피화생으로 진행하고 결과적으로 위암을 불러서 관심을 가져야 해요. 위축성 위염은 위의 염증이 지속하면서 위세포가 파괴되는 질환인데, 만성 염증이 있다면 위축성 위염으로 발전해요. 우리의 건강을 위협할 수도 있는 질환인데, 귀에 익숙하면 가볍게 이곳은 경우가 있습니다. 그중 하나가 건강검진 시 위내시경을 받은 후 진단받는 ‘위축성 위염’입니다.






위염 증상
위염 증상 - 급성 위염
급성 위염은 급성 미란성 위염, 급성 출혈성 위염 등으로 나뉩니다. 위벽이 깊게 패이지 않고 살짝 벗겨진 정도이면 미란성 위염, 위점막에 출혈이 생기면서 위벽이 벗겨진 경우는 급성 출혈성 위염입니다. 급성 위염의 경우 강한 쓰라림 때문에 고통받는 경우가 많은데, 제산제 복용 후에도 낫지가 않는다면 등을 천장으로 향한 채 침대에 일자로 누워있다면 두 세시간 후 쯤 서서히 나아집니다.
위염 증상 - 신경성 위염
말 그대로 스트레스성 위염으로 내시경으로 확인되는 이상이 없으나 통증을 호소하는 경우입니다. 스트레스가 주된 까닭으로 회사에 다니시는 분과 학생들에게서 예사로 발생되며 소화불량, 헛 배부름, 속 쓰림 등이 나타날 수 있답니다.






위염 증상 - 만성 위염
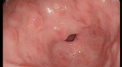
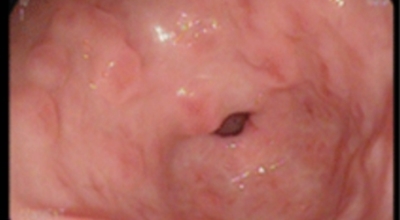
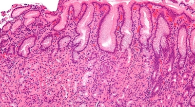
만성 위염은 내시경적으로 표재성 위염, 위축성 위염, 화생성 위염 등으로 나누는데 표재성 위염은 위내시경 검사상 위 표면에 불규칙하게 발적이 있거나 손톱으로 긁은 듯한 붉은 줄이 빗살모양으로 나있는 경우입니다. 위축성 위염은 위의 염증이 오래 지속되어 혈관이 보일 정도로 위점막이 얇아진 경우이며, 화생성 위염은 위 점막이 긴 시간 자극을 받아 원래 모습을 잃고 소장 점막이나 대장 점막 모양으로 변한 경우입니다.
내시경상으로 위점막에 많은 융기가 관측되며, 위벽이 붉지 않고 회백색의 색조를 띄고 있답니다. 만성 위염의 주요 까닭은 위나선균, 자가면역질환, 독성 물질, 담즙 역류, 결핵 등을 들 수 있으며, 이중 가장 중요하면서 흔한 까닭이 헬리코박터균입니다. 의학계에서는 위축성 위염이 화생성 위염이 되고, 최종적으로 위암이 발생되는 것으로 보는데요. 위축성 위염이나 화생성 위염의 경우에 까닭을 제거하더라도 회복되지 않는 경우가 있답니다. 특별히 화생성 위염은 반드시 주기적으로 내시경 검사를 시행하여 위암 등 다른 질환의 발생 여부를 관찰해야 해요.
위염에 좋은 음식
위염에 좋은 식품 - 코코넛
코코넛은 소화 건강에 도움되는영양성분이 많이 들어있습니다. 또, 위산 생성을 최소화 시켜주며 속쓰림, 위염을 이완시켜줄 수 있답니다. 그리고 장건강에 도움을 주고 영양소 보충에도 좋다고 해요. 최근 들어 많은 분들이 코코넛 오일로 드시고 계시기도 해요. 오일로 꾸준하게 드셔보시는 방법도 좋은 방법입니다.






위염에 좋은 식품 - 무
무 속에는 소화를 도와주는 여러가지 효소들이 들어있어요. 메밀국수에 무를 넣어 복용하는 이유도 메밀의 성질이 차서 성질이 따스한 무랑 함께 먹으면 소화 흡수에 도움이 되기 때문입니다. 그리고 무에는 식이섬유가 풍성하게 들어있어 소화기 기능 회복에도 도움을 줄 수 있으며, 장 기능 활성화에도 효과가 좋답니다. 무의 껍질에 많은 영양이 함유되어 있기 때문에 껍질 채로 섭취하는 것이 효과적입니다.
위염에 좋은 식품 - 양배추
대다수가 속쓰림에 좋은 식품으로 '양배추즙'을 추천받았을 것입니다. 양배추에 들어가 있는 비타민U의 U가 궤양을 뜻하는 말인만큼 위점막 보호와 회복에 효과적입니다. 그리고 비타민A와 비타민C가 풍성하게 함유되어 있어 위궤양, 위암 미리 막는데도 도움을 줄 수 있답니다.
위염에 좋은 식품 - 바나나
바나나에는 식이섬유가 풍부하면서 단백질이 적으며 부드러워서 위염 증상을 이완시켜보는데 도움된다고 해요. 위산 조절에 도움을 주고 속쓰림이나 궤양등을 예방에 도움이 되어요. 그리고 칼륨 그리고 마그네슘, 비타민C 등의 원인으로 위점막의 염증을 조절해줄 수 있답니다.
위염에 좋은 식품 - 복숭아
복숭아는 이뇨 작용에 도움을 주고 염증을 예방해보는데 도움을 줍니다. 또, 섬유질이 풍성하게 함유되어 있어서 소화개선 또는 위의 염증 조절에도 도움을 주고 비타민, 무기질 과 같은 물질이 있어 인해서 위염으로 발생하는 통증을 이완시켜줄 수 있답니다.
일상생활에서 예방법
헬리코박터 파일로리균의 제균
병원에서 검사를 받으면 파일로리균 감염 여부를 알 수 있습니다. 이 파일로리균은 병원에서 처방받은 약을 복용하기만 하면 통증 없이 없앨 수 있답니다. 만성 위염과 위궤양, 십이지장궤양, 나아가 위암의 예방과 궤양의 재발 억제 효과도 인정되고 있습니다.






호흡으로 자율 신경의 균형을 맞추기
자율 신경의 균형을 맞춰주는 호흡법으로 편안하게 스트레스를 줄이는 것으로 보입니다. 배꼽 아래쪽에 의식을 집중시키고 배에 공기를 넣는다는 느낌으로 천천히 코로 숨을 들이마십니다. 공기가 배에 다 들어오면 몇 초 동안 숨을 멈추고 배꼽 밑에 힘을 준 채 코로 숨을 내쉽니다. 이것을 하루에 몇 번 반복해요.
규칙적인 식사
불규칙적인 식사는 위에 부담이 되기 때문에 규칙적인 시간에 식사를 할 수 있도록 해요. 식사 시에는 소화가 잘 되지 않는 기름진 것만을 너무 많이 복용하지 않고 과식하지 않도록 합니다. 그리고 위산을 과도하게 분비해서 위 점막을 아프게 하는 엄청난 알코올이나 담배는 가급적 삼가도록 해요.
규칙적인 식사
불규칙적인 식사는 위에 부담이 되기 때문에 규칙적인 시간에 식사를 하도록 해요. 식사 시에는 소화가 잘 되지 않는 기름진 것만을 너무 많이 먹지 않고 과식하지 않도록 합니다. 그리고 위산을 과도하게 분비해서 위 점막을 아프게 하는 강한 알코올이나 담배는 가급적 삼가도록 해요.






헬리코박터 파일로리균의 제균
병원에서 검사를 받으면 파일로리균 감염 여부를 알 수 있습니다. 이 파일로리균은 병원에서 처방받은 약을 복용하기만 하면 통증 없이 없앨 수 있습니다. 만성 위염과 위궤양, 십이지장궤양, 나아가 위암의 예방과 궤양의 재발 억제 효과도 인정되고 있답니다.
스트레스 조절
스트레스와 위염은 떼려야 뗄 수 없는 관계입니다. 스트레스를 받지 않고 해소되기 위해서 자신만의 방법이나 편한 취미를 많이 지니고 있다면 좋을 것으로 보입니다. 특별한 것이 아니더라도 TV를 보거나 천천히 목욕을 하는 등, 일상생활 속에서 가능한 자신에게 맞는 휴식법을 찾아보기 바랄게요.
우리가 생각해 볼 점이 많은 위염 증상에 대하여 알아보았습니다. 생각 외의 중요한 내용들도 많았는데요 잘 알아두시고 참고하셨으면 좋겠습니다. 감사합니다.
허리통증 원인, 허리 개선 운동 알아보기
이번에는 허리통증 원인에 대한 포스팅입니다. 허리 안아픈 분들 없을 정도로 누구나 한번쯤은 아픈 부위라고 할 수 있는데요, 잘못된 자세가 원인이 되기도 하지만 다양한 이유들이 있습니다.
1helloworld1.everythingstory.co.kr
삼성전자 서비스센터 영업시간, 예약 방법
우리가 살면서 주거공간에 가전제품 참 많다고 해요. 우리나라 특성상 대기업이기도 하면서 최고의 제품이라고 알려져 있는 LG전자와 삼성전자 제품들이 있는데 당연히 AS 문제도 염두해두어야
1helloworld1.everythingstory.co.kr