오늘은 잇몸이 붓고 아플때 그 원인과 이유 해당 질환들에 대해서 구체적으로 알아보겠습니다. 대부분 양치를하면서 피를보는경우가 많은데요 이는 잇몸이 약해져서 출혈이 발생하게 되는것이고 이것을 계속 방치하면 더 심각한 질환이 생기게되는 원인이 돼요.

잇몸이 붓고 아플때 원인
잇몸 질환은 장년층, 노년층에게 발생할 확률이 높은게 사실이지만 꼭 그렇지 않더라도 청년층에서도 발생 확률이 높습니다. 일산의 한 병원 통계에 의하면 2015년부터 2016년까지 2년간 잇몸이 붓고 아플때 등 각종 잇몸 질환 환자들 수를 조사한 결과 2015년 13,863명 환자 중 20~30대 환자 수가 4,497명으로 나타났다고 합니다. 2016년에 이르러서는 20~30대 환자 수가 4,721명으로 약 2% 증가했으며, 청년층 잇몸 질환자 수치는 해마다 점점 증가하고 있는 추세입니다.
양치질을 꼼꼼히 하는 것도 상당히 중요하지만 잇몸에 문제가 없다 생각해도 1, 2년에 한 번씩 치과를 방문하여 검진을 받아볼 수 있도록 하는 것이 좋습니다. 잇몸이 붓고 아픈 경우는 단순히 잇몸에만 문제가 있는 것이 아닌 치아에도 함께 문제가 생겼을 확률이 높으며 초기에는 별다른 이상을 느끼지 못하고 염증이 이미 진행된 후에야 이상을 느끼는 경우도 많기 때문입니다.



1. 잇몸이 붓고 아플때 - 치주염
치은염에서 발전된 형태의 잇몸 염증 질환을 말합니다. 치은염이 잇몸 겉에 염증이 생긴 정도라면 치주염은 잇몸 겉에서 잇몸 뼈 주변까지 염증이 진행된 형태입니다. 따라서, 치은염보다 치료기간도 길어질 수밖에 없고 회복도 더딘 편입니다. 치주염은 치은염에서 발전된 형태이기 때문에 초기에는 양치질을 할 때 피가 나는 등의 치은염 증상을 겪게 돼요. 이후 치주염으로 발전한 초기에는 잇몸이 붓고 들뜬 느낌이 들며 붉어지고 건드렸을 때 출혈이 발생하게 돼요. 중기에는 잇몸이 내려가며 이 사이가 뜨기 시작해 치아가 조금씩 흔들리게 되고 말기에는 잇몸이 심하게 내려가 치아가 많이 흔들리게 돼요.
2. 잇몸이 붓고 아플때 - 치은염
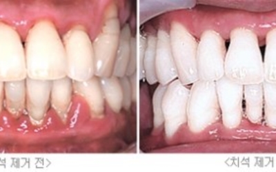
잇몸에 붓기가 생기고 통증이 발생하는 경우의 대부분은 우리의 치은과 관련이 있어요. 치은이란, 잇몸을 말하고 이곳에 염증이 생기면 이를 치은염이라고 합니다.흔히 치아 관리를 제대로 하지 않아 플라그라는 세균막이 생기며 석회화 된 치석이 잇몸과 치아 사이를 벌어지게 하는데 이 부분에 세균이 침투하고 염증을 발생시키면서 치은염으로 발전하게 돼요.



양치질을 할 때 피가 나고 입 냄새가 심해질 수 있으며 식사를 할 때 불편함을 느끼는 등 잇몸이 붓고 아플때 치은염을 의심해볼 수 있어요. 치은염을 계속 방치하게 될 경우 치아 주위 조직에 까지 염증이 번지는 치주염으로 발전할 수 있으니 잇몸에 이상을 장기간 느끼신다면 치과에 방문해 진단을 받아보셔야 합니다.
3. 잇몸이 붓고 아플때 - 사랑니
사랑니는 치아 중 아래 위로 가장 안쪽에 나오는 어금니입니다. 사람마다 사랑니가 4개가 나는 경우가 있고 1개가 나는 경우가 있으며, 잇몸이 붓고 아플때는 사랑니가 근처 어금니를 건드리는 잘못된 형태로 자라고 있을 확률이 높습니다.
잘못된 형태로 자라는 사랑니는 초기엔 잇몸이 붓는 정도이지만, 나중에는 근처 어금니를 썩게 만들고 사랑니와 멀쩡한 어금니까지 통째로 발치하게 되는 불상사가 발생할 수 있어요. 사랑니의 경우 잇몸 안쪽으로 매복해 자라는 경우도 많기 때문에 치과에서 사랑니 유무를 확실히 확인할 수 있어요.



4. 잇몸이 붓고 아플때 - 피로 누적
특히 많은 업무와 이로인한 스트레스로 과로가 피로가 되는 경우가 많은데요. 이경우 피로가 쌓이게되면 몸 전체적인 면역력이 떨어지게 되고 이로인해 여러 질환에 쉽게 노출이돼요. 특히 피로가 지속적으로 누적이 될경우 뇌에서 아데노신이라는 물질이 굉장히 쌓이는데요 이물질이 뇌에 많이 쌓여 있을 경우에는 몸을 굉장히 허하게 만들고 몸속의 혈류라든지 장기들의 재기능을 잘 발휘하지 못하게합니다. 이로 인해서 잇몸에 물집이 생기게되고 잇몸이 붓고 출혈을 발생시키게 돼요. 대부분 피로를 풀게되면 없어지는 경우가 많지만 잇몸의 붓기가 굉장히 오래가는 경우가 많기 때문에 반드시 이경우 병원에 내원하셔서 치료를 받는것이 좋습니다.
잇몸이 붓고 아플때 처치 방법
1. 잇몸 마사지
잇몸 마사지는 우리에겐 익숙치 않지만 아침, 저녁으로 잇몸 마사지를 하게 되면 잇몸이 강화되고 혈액순환이 잘 되어서 잇몸을 튼튼하게 하는데에 좋습니다. 잇몸 마사지를하는 방법으로는 양치를 한후 손을 깨끗이 씻은 다음 검지를 잇몸에 대고 시계 방향으로 원을 그리듯 10초 정도 문질러주시면 돼요.



조금 귀찮을수 있지만 입안 깊숙한 곳부터 빠짐없이 문질러주고 잇몸에 상처가 나지 않도록 해주세요. 잇몸에 상처를 유발할 수 있기 때문에 소금은 묻히지 않아야 하며, 잇몸 질환이 있는 경우 손가락으로 말고 칫솔을 사용해 잇몸과 치아 사이 칫솔모를 비스듬히 대고 쓸어 마사지하면 좋습니다.
2. 칫솔 자주 바꾸기
생각보다 칫솔을 자주 바꾸는 분이 많지 않습니다. 모가 벌어지고 망가졌을 때는 이미 늦은 상태인데요 사람에 따라 칫솔을 바꾸는 시기는 정해져 있지 않지만 최소 3개월에 한 번은 새 칫솔로 교환하는 것이 좋습니다. 더욱이 살균 관리를 하고 있지 않으신다면 더욱 자주 교체해 주는 것이 좋습니다. 욕실은 습하기 때문에 세균이 많이 번식할 수 있기 때문이죠.



칫솔모가 2주 안에 닳아버린다면 너무 세게 칫솔질을 하고 있는 것이며 6개월 이상 사용했음에도 칫솔이 그대로면 칫솔질을 살살 한 것이니 꼼꼼하게 칫솔질을 해야합니다. 칫솔질은 플라크가 잘 끼는 잇몸과 치아 사이를 신경 써서 닦으셔야 합니다. 치아 안쪽과 이가 빠진 부위는 더 꼼꼼하게 닦아주는 것이 더욱 효과적인 칫솔질 방법 이라고 할 수 있어요.
3. 치실 사용
치태는 치아 표면은 물론, 이 사이에도 끼어 있는데요 이 치태가 지속적으로 쌓이게 되면은 치석이 이 사이에 생겨서 잇몸과 치아의 틈이 벌어지고 잇몸에 피가 나고 붓게 돼요. 이때 치태가 쌓이는 것을 방지하기 위해 이를 닦기 전 치아와 잇몸 사이에 끼어있는 치태를 치실로 제거해 주는 것이 좋습니다. 자주 치실을 사용하여 이 사이에 이물질을 제거해 주는것도 잇몸 건강에 매우 좋은 습관입니다.



4. 스트레스 줄이기
스트레스는 만병의 근원입니다. 스트레스가 잇몸이 붓고 아플때의 원인이 될수있어요. 스트레스를 많이 받게 되면 침샘의 기능이 약해지기 때문에 세균의 활동을 억제시키는 침의 양이 적어진다고 합니다. 그렇게 되면 세균의 활동이 활발해져 잇몸 질환에 걸릴 위험도가 높아지는데 잇몸 건강을 유지하기 위해선 스트레스를 줄이고 물을 자주 마셔 입안을 촉촉하게 유지해 주는것이 좋습니다.
잇몸 건강 지수 체크리스트
아래에 해당되는 점수를 더해서 총 합을 보시면 돼요.
이를 닦을 때 잇몸에서 출혈이 발생한다. (10점)
이빨 사이에 음식물이 자주 끼인다. (6점)
치석이 이빨에 존재한다. (10점)
입 냄새가 난다. (8점)
잇몸에 통증이 있다. (8점)
이가 시리다. (7점)
이가 흔들리는 곳이 있다. (10점)
잇몸이 자주 붓는다. (10점)
틀니를 사용하시는 부모님이 계신다. (8점)
피곤하면 이가 들뜬다. (8점)
당뇨병으로 인한 치료경험이 있거나 현재 당뇨병으로 치료중이다. (10점)
현재 흡연자이다. (5점)






0~25점 – 잇몸 건강 양호
26~50점 – 잇몸 관리가 필요
51~75점 – 적극적인 잇몸 관리가 필요
76~100점 – 중증의 치주병 상태
잇몸이 붓고 아플때에 대해 전해드렸습니다. 도움이 되셨기를 바랍니다. 오늘도 행복하고 즐거운 하루 보내세요. 방문해 주셔서 감사합니다.