녹내장은 세계 보건기구(WHO)가 선정한 3대 실명 질환입니다. 녹내장은 시신경이 점점 파괴돼 시야 손상 및 시력 저하가 생기는 눈 질환인데요 녹내장 초기증상을 잘 알아두셔야 빠른 치료가 가능합니다. 오늘은 녹내장 초기증상에 대해 자세히 알아보겠습니다.

녹내장이란
대부분 녹내장 초기증상이 없어 방치하면 시야가 좁아지다가 실명할 수 있어요. 눈 속 압력인 안압이 올라가는 것이 주원인으로 알려져 있지만 안압이 정상이더라도 시신경이 약해지거나 혈액 공급이 제대로 되지 않으면 발생할 수 있어요. 안압은 녹내장 진단과 치료에 가장 중요하지만, 녹내장 환자의 80%는 안압이 정상 범위(10~21㎜Hg)인 정상 안압 녹내장입니다. 고도 근시, 가족력, 스테로이드 약 복용 등 아래와 같은 녹내장 위험 요인이 있다면 검사를 통해 조기에 발견하는 게 좋아요.
녹내장 원인
눈 속에는 각막과 수정체에 영양을 보내기 위해 방수 라고 하는 액체가 계속 순환하게 됩니다. 방수 라고 하는 것은 안구의 형태를 유지하게 해주는데요, 눈이 너무 말랑하게 되거나 단단하게 되지 않도록 정상적인 동그란 안구 모양을 유지하게 해준다고 하네요. 안압은 이런 안구의 형태를 유지하는 눈의 압력을 말합니다. 안압이 오르는 이유는 방수가 적당히 빠져 나가야 적당한 압력이 유지되는데, 이 방수의 생산과 방출이 정상적이지 않게 되면 안압이 비정상적으로 상승하게 됩니다. 방수의 이상에 대해서는 아직까지 명확히 밝혀진 것은 없습니다. 녹내장을 유발하는 대표적인 원인에 대해 알아보겠습니다.



1. 가족력
가족력도 녹내장 위험 인자에 포함됩니다. 가족력이란 유전이나 가족 환경, 생활 습관 등이 질환에 복합적으로 미치는 영향을 뜻합니다. 선천적 녹내장 등 유전이 단독 원인인 녹내장도 있지만, 대부분은 가족력이 원인입니다. 네덜란드 로테르담대의 연구 결과에 따르면, 1차 직계 가족 중 녹내장 환자가 있다면 녹내장 발병 위험도가 9배까지 높아질 수 있어요.
2. 고도 근시
고도 근시가 있으면 상대적으로 안구 길이가 길어지게 됩니다. 안구 길이가 길어지면 안구에 연결된 시신경을 지지하고 있는 구조물의 두께가 얇아지고 압력을 견디는 힘 역시 약해집니다. 구조물들이 약해지면 안압은 점차 시신경으로 전달돼 녹내장을 유발할 수 있어요.



3. 스테로이드 약 복용
스테로이드의 장기간 복용도 녹내장 대표적인 원인으로 꼽히는데요 스테로이드 계열의 약물을 장기간 복용하게 되면 안압이 상승하기 때문입니다. 이 밖에 심혈관 질환, 당뇨병도 녹내장 발병 위험을 높입니다. 또 한 쪽 눈에 외상을 입었다면 홍채와 각막 사이 방수(房水)가 빠져나가는 곳인 전방각에 상처가 생겨 섬유주를 포함한 전방각의 구조적 문제가 발생했을 수 있으므로 녹내장 검사를 받아 보는 것이 좋아요.
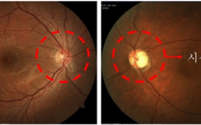
녹내장 초기증상
야간 시력이 떨어진다.
시야중에 보이지 않는 부분이 생긴다.
운동 시 두통이 있다.
이른 아침이나 저녁에 두통이 생긴다.
눈의 초점을 맞추기가 어려워진다.
눈앞이 뿌얘지거나 통증이 있다.
빛을 똑바로 쳐다볼 때 달무리가 생긴다.



녹내장 증상
녹내장 초기증상이 급격하게 갑자기 심해지면서 발생한다면 급성 폐쇄각 녹내장일 가능성이 있어요. 또 이런 증상이 서서히 진행되는 만성 개방각 녹내장이 있는데 이 경우는 자각이 어려워 치료 시기를 놓치는 경우도 있다고 하니 알게 모르게 눈이 아픈 증상이 잦다거나, 이유를 모르는 두통이 생긴다면 눈의 건강이 안좋은 것일 수 있으니 잘 체크해야겠네요. 일반적으로 두통과 눈을 연결시키기 어려워서 자각이 어려울텐데요, 녹내장 증상과 녹내장 초기증상을 미리 알아두시고 빠른 치료를 하시는게 중요합니다.
무증상
녹내장은 소리 없는 시력 도둑이라는 말이 붙을 정도로, 증상이 없는 경우가 대부분입니다. 그래서 우연히 안과에 들렀다가 녹내장을 진단받는 경우가 대부분이라고 하네요.
시력 저하
녹내장은 증상이 없는 경우가 대부분인데 시력이 서서히 감소한다는 특징이 있어요. 어느 날 물체가 흐릿하게 보이거나, 시력이 감소한 것 같다는 느낌을 받을 경우 녹내장을 의심해볼 수 있습니다



안통과 두통
녹내장 증상이 발생하게 되면 참을 수 없는 안통과, 두통 등을 동반한 증상이 나타나게 됩니다.
메스꺼움, 구토
녹내장이 발생하게 되면, 메스꺼움과 구토 증상이 동시에 나타날 수 있다고 합니다.
안구 충혈
녹내장은 안통과 두통뿐 아니라, 시신경 손상으로 인한 안구 충혈을 유발할 수 있어요. 만일, 이러한 안구 충혈이 지속해서 발생하는 경우 녹내장을 의심해볼 수 있어요.
녹내장 자가진단
- 머리가 아프고 두통이 심합니다
- 시력이 갈수록 떨어지며 시야가 좁아진 느낌이 듭니다.
- 눈 쪽에 이물감이 느껴집니다.
- 최근에 자주 눈이 시린 증상이 나타납니다.
- 눈이 쉽게 피로해지며 충혈이 심합니다.
- 빛을 볼 때 그 주변으로 무지개 빛이 보입니다.



녹내장 치료방법
눈 상태에 따라 차이가 있으나 일반적으로 약물 치료로 치료가 가능하다고 합니다. 처음엔 약물로 시작하고 차도가 없을 경우 이후에 레이저나 섬유주절제술을 시행하게 됩니다. 따라서 가급적 초기에 발견해서 약물로 쉽게 치료하는 것이 환자에게도 더할나위 없이 좋은 방법입니다. 약물치료는 눈에 점안액을 넣는 방법, 먹는 약을 통해 안압을 낮추는 방법이 있어요.
녹내장 예방 방법
1. 쾌적한 실내 공기
눈이 건조하면 건강하기 어렵습니다. 촉촉한 눈이 좋은데, 실내의 건조한 공기는 안구건조증을 유발하는 주된 원인이 됩니다. 실내 습도를 60% 정도로 유지하고, 에어컨 선풍기 히터 등 냉난방기의 바람은 얼굴에 직접 쐬지 않도록 주의합니다. 혹시라도 공기가 오염되어 있다면 눈에 치명적입니다. 환기는 건강의 필수조건입니다.



2. 금연
담배는 눈에도 해롭습니다. 담배의 독성 물질은 혈관을 타고 시신경에도 영향을 미칩니다. 담배 연기가 눈에 들어가고, 공기가 탁해지는 것은 기본. 흡연자의 황반변성 발병 위험도가 비흡연자에 비해 3배가량 높게 나타난다는 연구결과가 있습니다. 금연 후 20년은 지나야 황반변성 발병 위험이 줄어들기 때문에 일찍 담배를 끊을수록 좋습니다. 흡연과 음주는 백내장의 위험요소로도 알려져 있습니다.
3. 근거리 작업은 피하기
책을 읽을 때 눈과 책의 거리는 35~40cm 정도가 적당하다는 게 전문가들의 의견입니다. TV는 2.5m 이상, 화면 크기의 5배 이상 거리에서 보는 것이 좋습니다. 컴퓨터는 책상에서 사용하므로 가능한 한 멀리 떨어뜨리면 되고 스마트폰 보는 시간은 가급적 줄이는 게 좋습니다. 집중해 눈을 사용했다면 50분에 10분 정도는 휴식을 취합니다. 먼 곳을 보는 습관은 눈 건강에 매우 중요합니다.



4. 안과 정기검진
40세가 넘어가면 치명적인 각종 안질환이 생길 가능성이 커지기 때문에 정기적으로 눈 검진을 받는 것이 좋습니다. 백내장, 녹내장, 황반변성, 당뇨망막병증 등이 대표적입니다. 또 콘택트렌즈를 사용할 때는 전문가의 조언을 들어야 합니다. 눈 상태에 따라 렌즈가 각막염을 유발할 수 있기 때문입니다.
녹내장 초기증상에 대해 알아봤습니다. 저의 포스팅 내용이 도움이 되셨으면 좋겠네요. 항상 건강하고 즐거운 하루 되시기 바랍니다.
다른 사람이 많이 본 글



