우리 인체가 노화가 진행되는 속도가 가장빠른곳이 어디인지 혹시 아시나요? 바로 눈이지요. 눈은 우리 인체에서 가장 빠르게 노화가 진행되는 인체 기관이지요. 그래서 오늘 알아볼 주제는 황반변성 증상에 관하여 알아보도록 합니다.
목차





황반변성
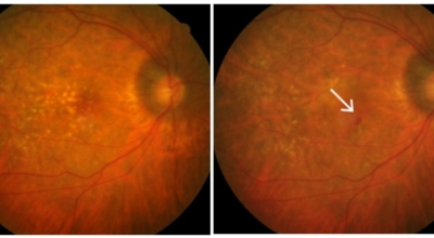
황반변성은 눈 조직 중 황반에 나타나는 변성으로, 시력 저하를 일으키는 퇴행성 질환이지요. 황반은 망막의 중심을 가리켜요. 이 황반은 물체를 정확하게 볼 수 있게 하는 기능을 합니다. 나이가 들면서 황반에 여러 변화가 발생되는데, 황반변성은 그 가장 유명한 변화이지요. 황반변성이 온다고 하여 시야 전체가 깜깜해지면서 암흑 속에서 살게 되는 것은 아니에요. 다만 보고자 하는 부분이 어둡거나 왜곡되어 보이지요.
황반변성 증상
대표적 증상은 사물이 구부러져 관찰되는 증상이 있어요. 초기에 안구의 신생혈관이 발생되거나, 그 혈관이 출혈을 일어킬 경우 발생되는 증상이지요. 출혈은 망막을 휘게 만들어요. 평평해야 하는 망막에 굴절이 생기면서 시력에 이상이 발생되는 것으로 보입니다.
중심 안 점 또는 황반변성의 주요 증상인데요 시력의 중앙부위가 안보이거나 까맣게 점이 관찰되는 증상이지요. 자가 진단 방법으로 눈을 한쪽씩 가리면 이 증상을 알아 챌 수 있어요. 간단한 자가 진단 방법이지만 본인이 알아채기 가장 효과가 좋은 방법이지요. 이때 주의해야 할 점은 눈을 가릴 때 눈에 압력을 가하면 안 돼요. 주의하시길 바래요.





치료
황반변성 치료법은 건성과 습성으로 그 증상을 나누어서 살펴보아야 합니다. 만약 건성 황반변성을 겪고 있으면 특별히 치료법이라고 말할 수 있는 방법이 없다고 합니다. 습성 황반변성이라고 할 경우 안구 내 주사, 광역학 요법, 레이저 시술 등을 활용할 수 있어요. 원래에는 대부분이 실명에 이르는 질병으로 알려졌지만 최근에는 시력개선까지 도모할 수 있는 기술력이 도입되었어요. 하지만 여전히 건성과 습성 모두 예후가 좋다고 말할 수는 없으니 예방을 하는 것이 최고의 황반변성 치료법이라고 할 수 있겠습니다. 시력 저하로 인해서 보통 안과를 찾게 돼요.
병원에서 전문의를 만나서 진단을 받게 돼요. 일반적으로 현미경 검사로 40배 이상 눈을 확대해서 검사하던가, 동공확장 안약을 통하여 동공을 크게 확대시켜 속을 관찰하기도 합니다. 가장 대표적이고 중요한 검사는 빛간섭단층촬영술이 있는데 이것은 신체에 무해하며 망막의 단층을 촬영할 수 있어요. 유용하게 많이 사용되는 진단 방법이지요.
이미 시작된 황반변성을 치료하는 방법에는 약물, 레이저, 주사 치료가 있어요. 이 치료방법들의 목적은 시력저하의 속도를 최대한 늦추는 것이 주 목표이지요. 최근 들어 가장 효과가 있다고 알려지고 많이 사용되는 방법은 주사 치료 방법이지요. 안구에 직접적으로 주사를 놓는 방식이지요. 보통 주사를 맞고 나면 3~4일까지 세수를 하실 수 없어요. 주사 치료는 보통 4주~8주 간격으로 시행되며 주사 치료를 중단한다면 재발되기도 합니다.





황반변성 종류
습성 황반변성
황반변성 환자 중 약 10% 정도 차지하고 있다고 합니다. 그리고 망막 아래 부위에 맥락막 신생혈관이 자라게 되면서 발생하게 되며 이러한 신생혈관 같은 경우, 눈의 망막 부위인 황반부에 출혈을 발생시켜서 시력에 영향을 미치며 정도가 심한 경우 실명까지 발전할 수가 있다고 합니다. 그래서 진행속도가 무척 빨라서 빠르게 자가진단을 한 후에 병원에 바로 내원하여 치료법으로 치료를 받기를 추천드려요.
건성 황반변성
망막 부위에 노폐물들이 황반부에 축적되어가는 상태라고 합니다. 그렇기 때문에 망막색소상피의 위축이 발생하며 같은 병변이 생긴 경우를 말한다고 합니다. 그래서 이는 아주 흔하며 여러 연령대에 나타나게 된다 모든 증상의 90% 이상이 건성 황반변성이라고 합니다. 그래서 심해지시면 병원에 방문하기를 추천드려요.





질병의 원인
황반변성의 원인이 정확하게 무엇이다! 하나로 정의내리기는 힘이 들어요. 다만 대표적으로 노화와, 유전이 있어요. 그 외 흡연, 고 콜레스테롤 혈증, 자외선 노출 등이 있어요.
노화
환반변성을 다양한으로 나뉠 수 있는데, 보통은 말하는 황반변성은 망막의 노화로 생기는 것으로 보입니다. 즉 노인성 황반변성, 노년 황반변성이라고 일컫는 이유이지요. 여기서 노인은 50세 이상을 말합니다.





유전적 이유
이미 유전자에 이상으로 생기는 것은 예방할 방법이 없습니다. 그리고 치료방법도 정확하게 존재하지 않아요. 노화와 다르게 유전적인 이유는 10대 때 빠르게 시작되기도 합니다.
생활 습관
생활습관에서 하지 말아야 할 것, 해야 할 것 두 가지로 나눌 수 있어요. 흡연과 과한 자외선 노출, 비만 등은 하지 말아야 합니다. 녹색 잎채소를 섭취하며, 견과류, 생선 등을 많이 먹는 것이 해야 할 생활 습관이지요. 올리브유도 좋아요. 황반변성은 현재 여러가지 치료 방법으로 현재의 시력을 유지하면서 기능을 유지하기 위해 좋은 기술들이 있어요. 하지만 가장 중요한 것은 빠른 시일에 황반변성을 알아채야 그게 가능합니다. 무심코 내 눈의 상태를 대수롭지 않게 생각할 경우 그것은 눈의 건강에 좋지 않아요. 건강한 안구를 위하여 자가 검진을 하시고 병원을 내원하는 것을 추천드려요.





황반변성에 좋은 음식
황반변성에 좋은 식품으로는 케일, 배추, 브로콜리, 시금치 등 야채가 있고, 블루베리, 토마토, 오렌지, 포도 등 과일이 도움을 줍니다. 생선, 들기름, 올리브유 등 오메가3가 많이 들어가 있는 음식도 황반변성에 좋은 음식이며, 눈에 좋은 영양제를 섭취하시는 것도 황반변성 예방하는데 도움을 줍니다. 우리가 눈에 좋다고 알려져서 대다수가 섭취하고 있는 눈 영양제인 루테인과 갖가지 비타민 영양제도 황반변성을 약 20% 이상 제한하는데 도움이 된다는 연구결과가 있어요. 여러가지 영양소를 식품으로 모두에게 섭취하기 어려우신 분께서는 영양제라도 반드시 챙겨서 드시기 바래요.
황반변성 증상에 관하여 알아봤어요. 저의 포스팅 내용이 도움이 되셨으면 좋겠습니다. 항상 건강하고 즐거운 하루 되시기 바래요.
다른 사람이 많이 본 글
12월 인사말 이미지 36가지 센스있게 보내세요
연말이 다가오면 오래동안 연락을 하고 지내지 못한 지인분도 생각나고 고마운 분들도 생각납니다. 바쁘다는 핑계로 자주 인사를 나누지는 못했지만 12월에만큼은 반드시 연락을 해봐야겠다는
1helloworld1.everythingstory.co.kr
독감 증상 - 코로나와 차이 확실히 알아보기
환절기가 되면 우리는 늘 독감을 조심하며 예방주사를 맞기도 하는데 독감이란 말 자체도 심하게 앓는 감기같은데 어떤 증상들이 있는지 알아보는 시간을 가지도록 합니다. 독감 증상 포스팅
1helloworld1.everythingstory.co.kr
2023년 운세 - 가장 좋은 띠는?
2023년이 코앞이지요. 새해가 다가오면 항상 궁금한 것이 나의 운세인데요, 사주보다는 두리뭉실하지만 가장 쉽게 볼 수 있는게 띠별 운세이지요. 벌써 2023년 운세가 나와있더라구요. 저처럼 궁
1helloworld1.everythingstory.co.kr